Casuïstiek
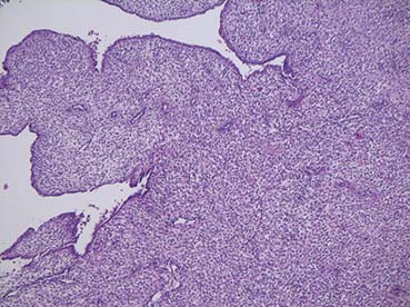
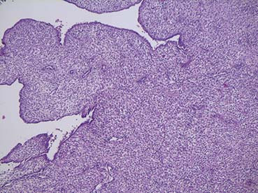
Decidual cast
Een 45-jarige vrouw komt op het spreekuur met een stuk weefsel dat ze die ochtend vaginaal heeft verloren. De nacht ervoor had ze veel buikpijn en vaginaal bloedverlies gehad. Er zijn geen tekenen van een zwangerschap. Ze was een half jaar daarvoor op het spreekuur geweest in…
Gratis verder lezen?
H&W biedt geïnteresseerden de mogelijkheid om één artikel per 2 maanden gratis te lezen. Ben je geïnteresseerd in dit artikel? Voer je e-mailadres in en ontvang het artikel gratis in je inbox.
Door gebruik te maken van dit aanbod ga je akkoord met de privacyverklaring en ontvang je per aanvraag maximaal 3 e-mails van H&W.
Abonnement afsluiten?
- Onbeperkt toegang tot alle artikelen
- 11 x tijdschrift Huisarts & Wetenschap
- Ontvang elke week de H&W-nieuwsbrief
- Beluister wekelijks de H&W Podcast
- Draag vanuit jouw expertise bij aan artikelen, samen met andere artsen en onderzoekers
Kies je abonnement
Al abonnee of NHG-lid? Log hier in