Nieuws
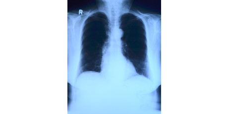
Infiltraat op thoraxfoto geen gouden standaard voor pneumonie
Een infiltraat op een thoraxfoto wordt regelmatig niet bevestigd bij een beoordeling door een tweede radioloog. Onderzoekers uit Maastricht hebben thoraxfoto's van 243 patiënten met een lageluchtweginfectie door 2 radiologen laten beoordelen. Bij 90% van de beoordelingen bestond overeenstemming …
Gratis verder lezen?
H&W biedt geïnteresseerden de mogelijkheid om één artikel per 2 maanden gratis te lezen. Ben je geïnteresseerd in dit artikel? Voer je e-mailadres in en ontvang het artikel gratis in je inbox.
Door gebruik te maken van dit aanbod ga je akkoord met de privacyverklaring en ontvang je per aanvraag maximaal 3 e-mails van H&W.
Abonnement afsluiten?
- Onbeperkt toegang tot alle artikelen
- 11 x tijdschrift Huisarts & Wetenschap
- Ontvang elke week de H&W-nieuwsbrief
- Beluister wekelijks de H&W Podcast
- Draag vanuit jouw expertise bij aan artikelen, samen met andere artsen en onderzoekers
Kies je abonnement
Al abonnee of NHG-lid? Log hier in