Diagnose à vue
Loopoor
Loopoor
© Jorien Snel-Bongers
Week 20
14 mei 2024

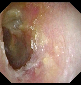
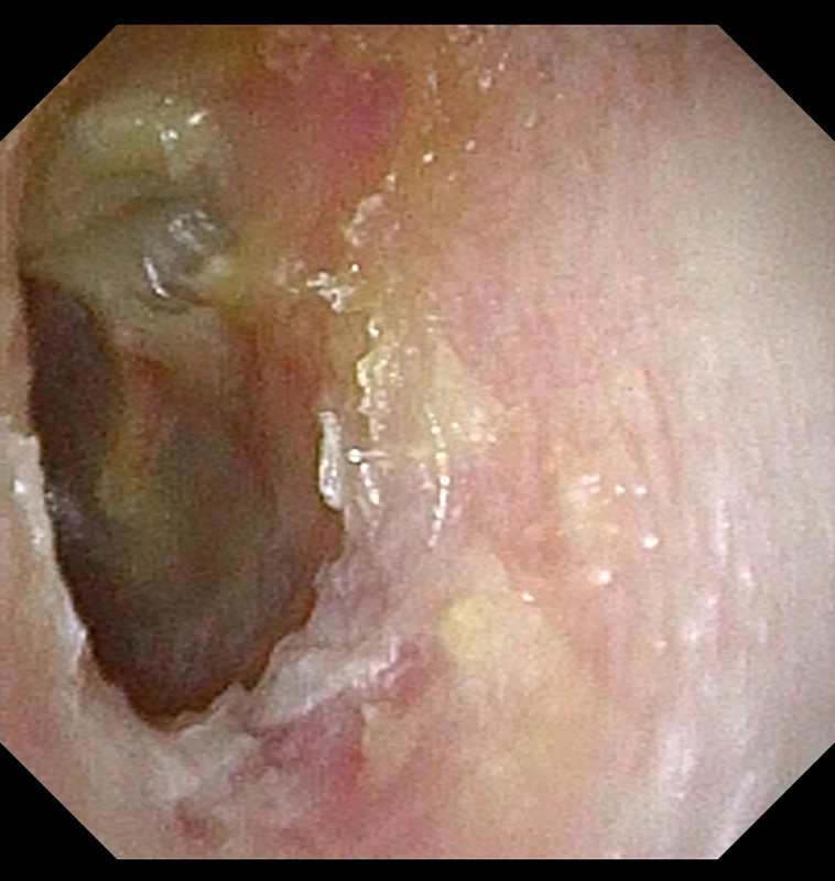
Een langdurig loopoor

Een 23-jarige vrouw meldt zich bij de huisarts met een sinds enkele weken bestaand loopoor rechts. Ze geeft aan verkouden te zijn geweest, maar weet niet meer of het loopoor al daarvoor aanwezig was. Ze hoort minder aan de aangedane zijde, maar ze heeft geen oorpijn. Ze heeft geen koorts. Als kind had ze vaak oorontstekingen en kreeg ze trommelvliesbuisjes; verder is haar medische voorgeschiedenis blanco. Vanwege pus en een gezwollen gehoorgang heb je eerder bij otoscopie het trommelvlies niet gezien. Na 3 verschillende soorten antibiotische oordruppels en eenmaal een orale antibioticakuur zie je 4 weken later het volgende beeld met je otoscoop [figuur].

Wat is je diagnose?

Keuzen