H&W Podcast

Baby’s en peuters die een batterij hebben ingeslikt

Seizoen
2
Aflevering
5.2
Gepubliceerd
5 mei 2020

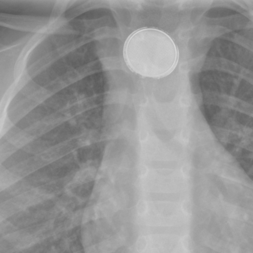
Wat zijn de risicofactoren voor een gecompliceerd beloop bij inname van een batterij bij jonge kinderen? In de meeste gevallen passeert de batterij spontaan het maag-darmkanaal. Laat toch altijd laagdrempelig röntgendiagnostiek verrichten om een goede risico-inschatting te kunnen maken. 

Gerelateerd

H&W | Complicaties bij baby’s en peuters die een batterij hebben ingeslikt