Onderzoek
Complicaties bij baby’s en peuters die een batterij hebben ingeslikt
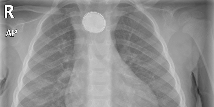
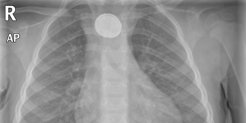
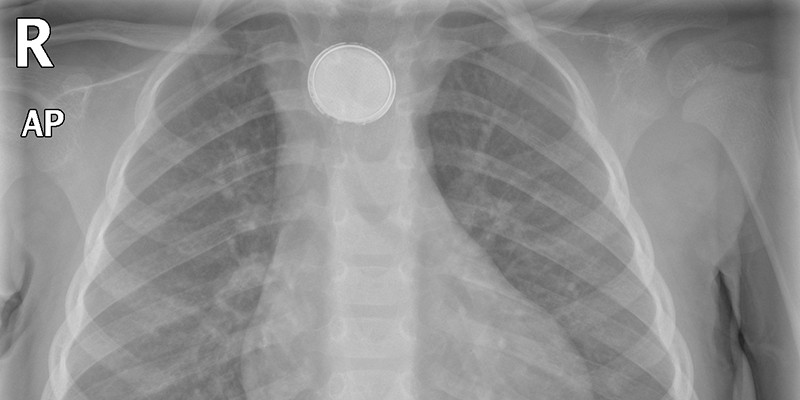
Tussen 2002 en 2016 verdrievoudigde het aantal 0- tot en met 4-jarige kinderen die een batterij hadden ingeslikt. Meestal gaat het om kleine knoopcelbatterijen die afkomstig zijn uit geopende verpakkingen, lampen en speelgoed. Veruit de meeste batterijtjes verlaten het lichaam via de normale weg, maar sommige blijven in de slokdarm of maag steken. Dan kunnen ernstige complicaties optreden. Hoe vaak komt dit voor, wat zijn de risicofactoren en waaruit bestaat de behandeling?
Gratis verder lezen?
H&W biedt geïnteresseerden de mogelijkheid om één artikel per 2 maanden gratis te lezen. Ben je geïnteresseerd in dit artikel? Voer je e-mailadres in en ontvang het artikel gratis in je inbox.
Door gebruik te maken van dit aanbod ga je akkoord met de privacyverklaring en ontvang je per aanvraag maximaal 3 e-mails van H&W.
Abonnement afsluiten?
- Onbeperkt toegang tot alle artikelen
- 11 x tijdschrift Huisarts & Wetenschap
- Ontvang elke week de H&W-nieuwsbrief
- Beluister wekelijks de H&W Podcast
- Draag vanuit jouw expertise bij aan artikelen, samen met andere artsen en onderzoekers
Kies je abonnement
Al abonnee of NHG-lid? Log hier in