Casuïstiek
Een harde zwelling onder de nagel
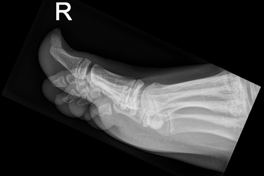
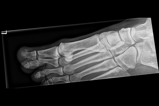
Twee patiënten bezoeken kort achter elkaar de huisarts, omdat ze een zwelling onder een nagel hebben. Na onderzoek blijkt het te gaan om een subunguale exostose, een zwelling onder de nagels van tenen of vingers. Vanwege de zeldzaamheid van deze aandoening duurt het enige tijd voor de huisarts de diagnose stelt. Wat moet u doen bij een patiënt met een zwelling onder de nagel?
Gratis verder lezen?
H&W biedt geïnteresseerden de mogelijkheid om één artikel per 2 maanden gratis te lezen. Ben je geïnteresseerd in dit artikel? Voer je e-mailadres in en ontvang het artikel gratis in je inbox.
Door gebruik te maken van dit aanbod ga je akkoord met de privacyverklaring en ontvang je per aanvraag maximaal 3 e-mails van H&W.
Abonnement afsluiten?
- Onbeperkt toegang tot alle artikelen
- 11 x tijdschrift Huisarts & Wetenschap
- Ontvang elke week de H&W-nieuwsbrief
- Beluister wekelijks de H&W Podcast
- Draag vanuit jouw expertise bij aan artikelen, samen met andere artsen en onderzoekers
Kies je abonnement
Al abonnee of NHG-lid? Log hier in