Casuïstiek
Vroegtijdige herkenning is belangrijk bij longfibrose
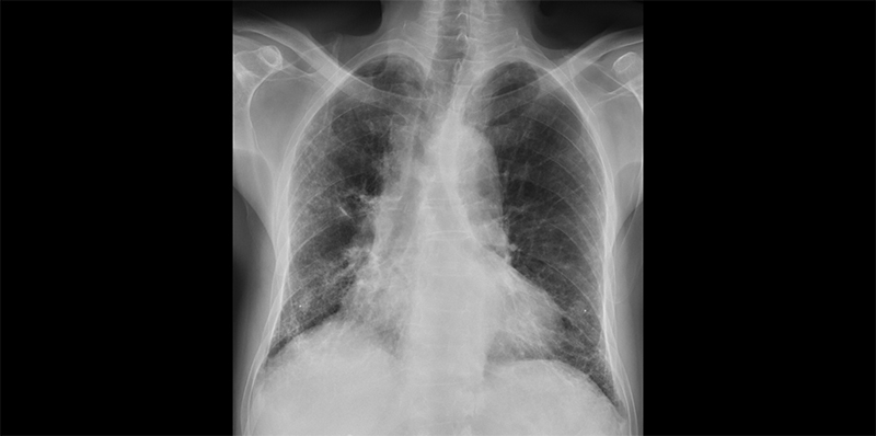
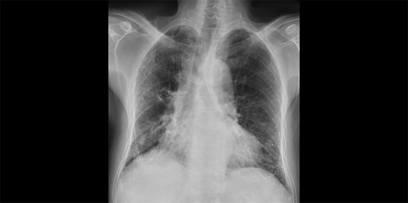
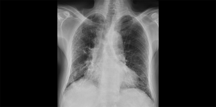
Longfibrose is zeldzaam en wordt dikwijls pas laat herkend, wanneer er vaak al substantiële longschade opgetreden is. Het is belangrijk dat huisartsen longfibrose vroegtijdig herkennen, want nieuwe therapeutische mogelijkheden kunnen achteruitgang van de longfunctie in een eerder stadium remmen. Aan de hand van een casus beschrijven wij de diagnostiek van longfibrose.
Gratis verder lezen?
H&W biedt geïnteresseerden de mogelijkheid om één artikel per 2 maanden gratis te lezen. Ben je geïnteresseerd in dit artikel? Voer je e-mailadres in en ontvang het artikel gratis in je inbox.
Door gebruik te maken van dit aanbod ga je akkoord met de privacyverklaring en ontvang je per aanvraag maximaal 3 e-mails van H&W.
Abonnement afsluiten?
- Onbeperkt toegang tot alle artikelen
- 11 x tijdschrift Huisarts & Wetenschap
- Ontvang elke week de H&W-nieuwsbrief
- Beluister wekelijks de H&W Podcast
- Draag vanuit jouw expertise bij aan artikelen, samen met andere artsen en onderzoekers
Kies je abonnement
Al abonnee of NHG-lid? Log hier in