Casuïstiek
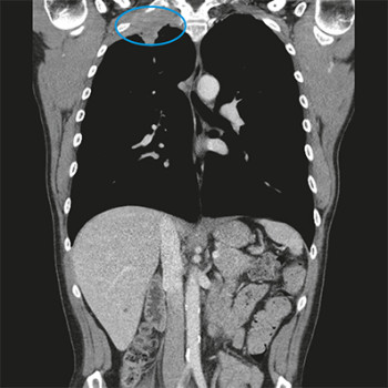
De pancoasttumor: witte raaf bij schouderpijn
Een 50-jarige man bezoekt het spreekuur met pijn rondom zijn rechterschouder. De pijn is er sinds een week en zit ter hoogte van zijn rechterbovenarm, oksel, schouderblad en aan de bovenzijde van zijn schouder. De patiënt voelt ook een licht drukkend gevoel op de rechter…
Gratis verder lezen?
H&W biedt geïnteresseerden de mogelijkheid om één artikel per 2 maanden gratis te lezen. Ben je geïnteresseerd in dit artikel? Voer je e-mailadres in en ontvang het artikel gratis in je inbox.
Door gebruik te maken van dit aanbod ga je akkoord met de privacyverklaring en ontvang je per aanvraag maximaal 3 e-mails van H&W.
Abonnement afsluiten?
- Onbeperkt toegang tot alle artikelen
- 11 x tijdschrift Huisarts & Wetenschap
- Ontvang elke week de H&W-nieuwsbrief
- Beluister wekelijks de H&W Podcast
- Draag vanuit jouw expertise bij aan artikelen, samen met andere artsen en onderzoekers
Kies je abonnement
Al abonnee of NHG-lid? Log hier in