Praktijk
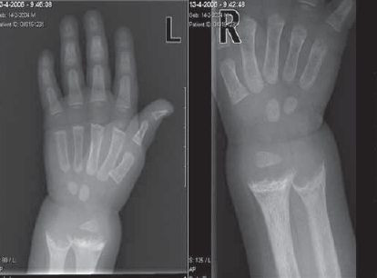
Een allochtone peuter met kromme beentjes
De afgelopen jaren krijgt het belang van vitamine-D-toediening bij bepaalde risicogroepen (zoals niet-westerse allochtonen en ouderen) opnieuw aandacht. Niet-westerse allochtonen lopen vooral risico op vitamine-D-deficiëntie door een gebrek aan zonlicht in combinatie met een vaak donkere…
Gratis verder lezen?
H&W biedt geïnteresseerden de mogelijkheid om één artikel per 2 maanden gratis te lezen. Ben je geïnteresseerd in dit artikel? Voer je e-mailadres in en ontvang het artikel gratis in je inbox.
Door gebruik te maken van dit aanbod ga je akkoord met de privacyverklaring en ontvang je per aanvraag maximaal 3 e-mails van H&W.
Abonnement afsluiten?
- Onbeperkt toegang tot alle artikelen
- 11 x tijdschrift Huisarts & Wetenschap
- Ontvang elke week de H&W-nieuwsbrief
- Beluister wekelijks de H&W Podcast
- Draag vanuit jouw expertise bij aan artikelen, samen met andere artsen en onderzoekers
Kies je abonnement
Al abonnee of NHG-lid? Log hier in