Casuïstiek
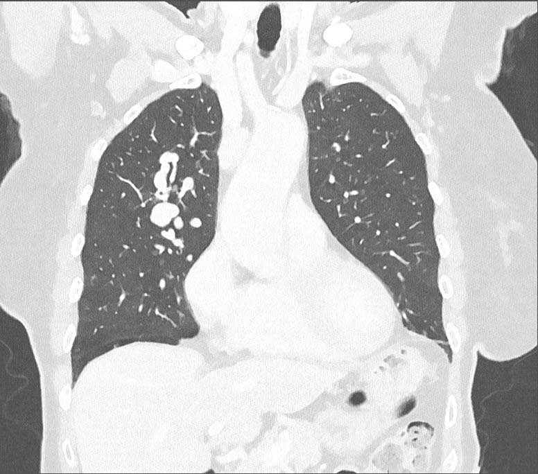
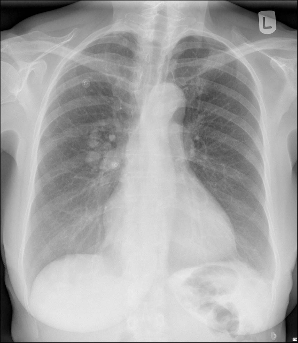
Een verrassende oorzaak van dyspneu: Rendu-Osler-Weber
Er komt een patiënte op het spreekuur die last heeft van inspanningsdyspneu en pijn op de borst. De huisarts denkt aan een cardiale oorzaak. Toch is er iets anders aan de hand, want er zijn klinische aanwijzingen voor een zeldzame aandoening: de ziekte van Rendu-Osler-Weber. Waar moet u op letten?
Gratis verder lezen?
H&W biedt geïnteresseerden de mogelijkheid om één artikel per 2 maanden gratis te lezen. Ben je geïnteresseerd in dit artikel? Voer je e-mailadres in en ontvang het artikel gratis in je inbox.
Door gebruik te maken van dit aanbod ga je akkoord met de privacyverklaring en ontvang je per aanvraag maximaal 3 e-mails van H&W.
Abonnement afsluiten?
- Onbeperkt toegang tot alle artikelen
- 11 x tijdschrift Huisarts & Wetenschap
- Ontvang elke week de H&W-nieuwsbrief
- Beluister wekelijks de H&W Podcast
- Draag vanuit jouw expertise bij aan artikelen, samen met andere artsen en onderzoekers
Kies je abonnement
Al abonnee of NHG-lid? Log hier in