Casuïstiek
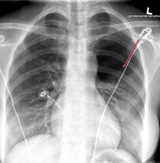
Pneumothorax na acupunctuur
Acupunctuur is relatief veilig, maar kan leiden tot complicaties. Een zeer zeldzame, maar ernstige complicatie is een pneumothorax. Bij thoracale pijnklachten na een acupunctuurbehandeling moet altijd een pneumothorax worden overwogen. Risicofactoren zijn acupunctuur van thorax, schouders en bovenrug, een niet goed uitgevoerde procedure en longemfyseem of longkanker in de voorgeschiedenis.
Gratis verder lezen?
H&W biedt geïnteresseerden de mogelijkheid om één artikel per 2 maanden gratis te lezen. Ben je geïnteresseerd in dit artikel? Voer je e-mailadres in en ontvang het artikel gratis in je inbox.
Door gebruik te maken van dit aanbod ga je akkoord met de privacyverklaring en ontvang je per aanvraag maximaal 3 e-mails van H&W.
Abonnement afsluiten?
- Onbeperkt toegang tot alle artikelen
- 11 x tijdschrift Huisarts & Wetenschap
- Ontvang elke week de H&W-nieuwsbrief
- Beluister wekelijks de H&W Podcast
- Draag vanuit jouw expertise bij aan artikelen, samen met andere artsen en onderzoekers
Kies je abonnement
Al abonnee of NHG-lid? Log hier in