Casuïstiek

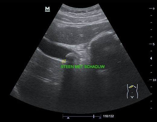
Point-of-care-echografie

Gepubliceerd
9 november 2020
Een echoapparaat in de huisartsenpraktijk was tot voor kort een zeldzaamheid, wat vooral te maken had met de hoge kosten en forse afmetingen. Sinds een aantal jaren zijn betaalbare en compacte echoapparaten echter ruimschoots beschikbaar. Zelfs kleine handheld-apparaten die met een smartphone zijn verbonden behoren tot de mogelijkheden. Met echografie heeft de huisarts een belangrijk diagnostisch instrument in handen.