Nascholing
CT-calciumscore: geschikte test voor uitsluiting coronairlijden
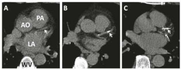
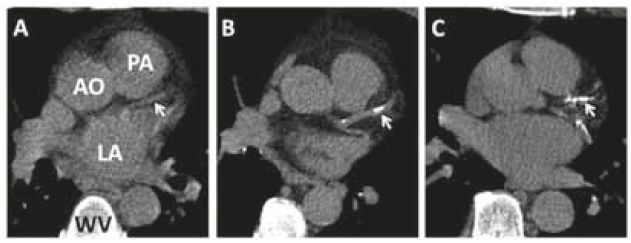
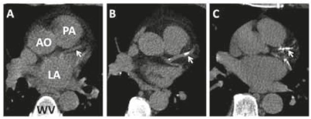
De CT-calciumscore is een relatief recente tweedelijnstechniek voor de analyse van coronairlijden. Het onderzoek is vanwege de hoge negatief voorspellende waarde uitermate geschikt voor het uitsluiten van gecalcificeerd coronairlijden bij patiënten met een atypisch klachtenpatroon. Bij…
Gratis verder lezen?
H&W biedt geïnteresseerden de mogelijkheid om één artikel per 2 maanden gratis te lezen. Ben je geïnteresseerd in dit artikel? Voer je e-mailadres in en ontvang het artikel gratis in je inbox.
Door gebruik te maken van dit aanbod ga je akkoord met de privacyverklaring en ontvang je per aanvraag maximaal 3 e-mails van H&W.
Abonnement afsluiten?
- Onbeperkt toegang tot alle artikelen
- 11 x tijdschrift Huisarts & Wetenschap
- Ontvang elke week de H&W-nieuwsbrief
- Beluister wekelijks de H&W Podcast
- Draag vanuit jouw expertise bij aan artikelen, samen met andere artsen en onderzoekers
Kies je abonnement
Al abonnee of NHG-lid? Log hier in