Casuïstiek
Een snelgroeiend aneurysma van de buikaorta
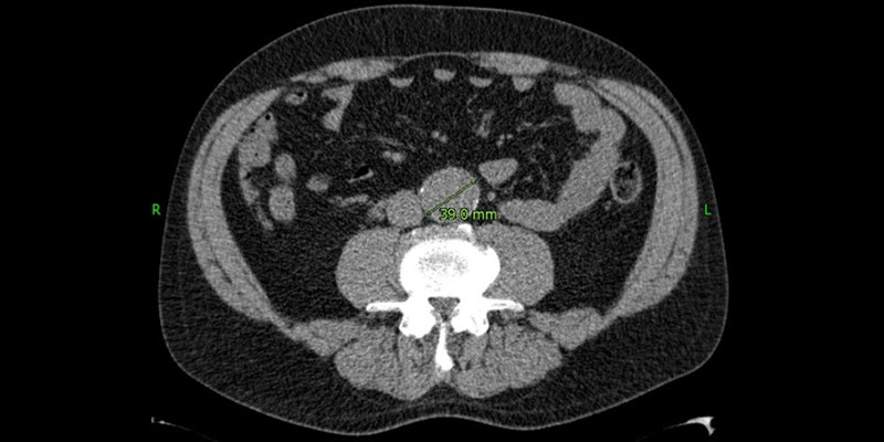
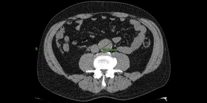
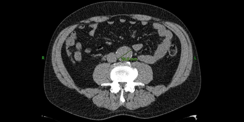
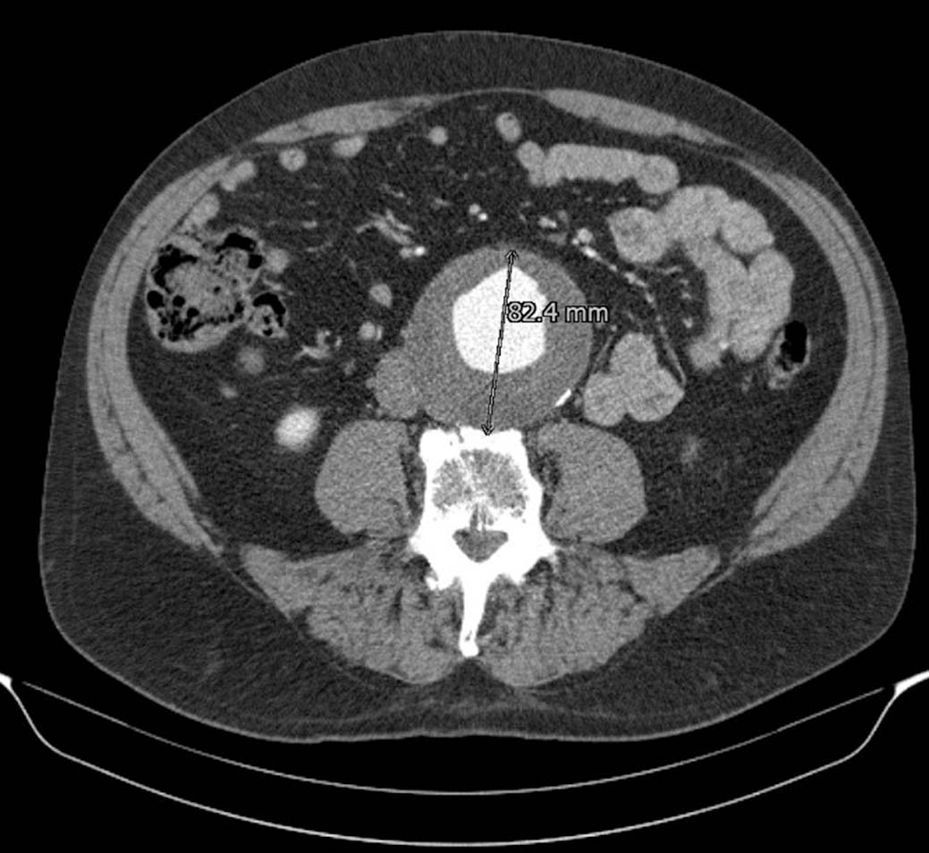
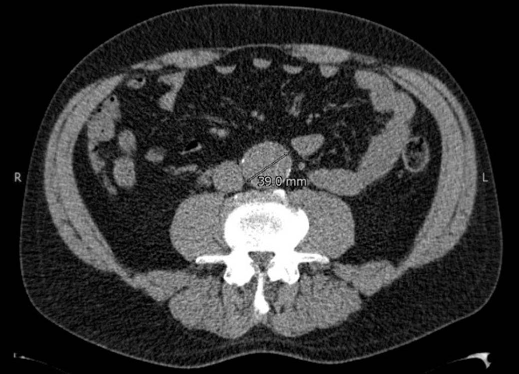
Soms wordt op een echo of CT van de buik een aneurysma aortae abdominalis (AAA) ontdekt. Vaak gebeurt dat in een ziekenhuis. De radioloog vermeldt die toevalsbevinding meestal wel in de brief aan de huisarts, maar als het AAA ‘klein’ is, wordt meestal niet vermeld dat follow-up geïndiceerd is. Die controle kan echter van levensbelang zijn.
Gratis verder lezen?
H&W biedt geïnteresseerden de mogelijkheid om één artikel per 2 maanden gratis te lezen. Ben je geïnteresseerd in dit artikel? Voer je e-mailadres in en ontvang het artikel gratis in je inbox.
Door gebruik te maken van dit aanbod ga je akkoord met de privacyverklaring en ontvang je per aanvraag maximaal 3 e-mails van H&W.
Abonnement afsluiten?
- Onbeperkt toegang tot alle artikelen
- 11 x tijdschrift Huisarts & Wetenschap
- Ontvang elke week de H&W-nieuwsbrief
- Beluister wekelijks de H&W Podcast
- Draag vanuit jouw expertise bij aan artikelen, samen met andere artsen en onderzoekers
Kies je abonnement
Al abonnee of NHG-lid? Log hier in