Nieuws
AAA: (hoog) tijd voor screening
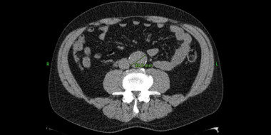
Een aneurysma van de aorta abdominalis (AAA) is een aandoening die over het algemeen asymptomatisch verloopt, totdat er een ruptuur optreedt. De prevalentie ligt tussen de 4 en 9%, de aandoening komt voornamelijk voor bij mannen van 65 jaar en ouder. Voor een normpraktijk van…
Gratis verder lezen?
H&W biedt geïnteresseerden de mogelijkheid om één artikel per 2 maanden gratis te lezen. Ben je geïnteresseerd in dit artikel? Voer je e-mailadres in en ontvang het artikel gratis in je inbox.
Door gebruik te maken van dit aanbod ga je akkoord met de privacyverklaring en ontvang je per aanvraag maximaal 3 e-mails van H&W.
Abonnement afsluiten?
- Onbeperkt toegang tot alle artikelen
- 11 x tijdschrift Huisarts & Wetenschap
- Ontvang elke week de H&W-nieuwsbrief
- Beluister wekelijks de H&W Podcast
- Draag vanuit jouw expertise bij aan artikelen, samen met andere artsen en onderzoekers
Kies je abonnement
Al abonnee of NHG-lid? Log hier in