Casuïstiek
Jeukende huidafwijkingen in de zwangerschap
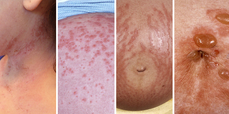
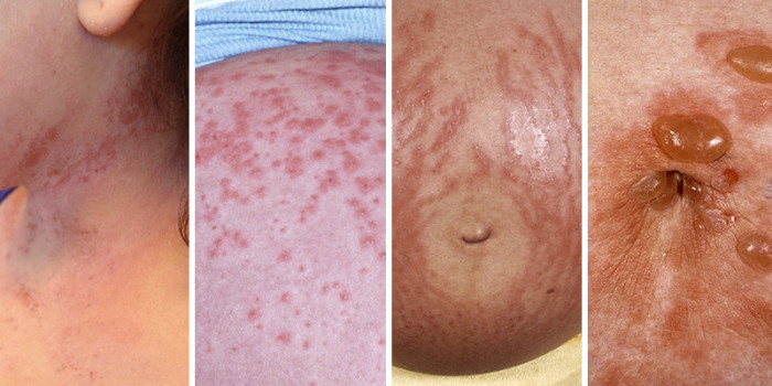
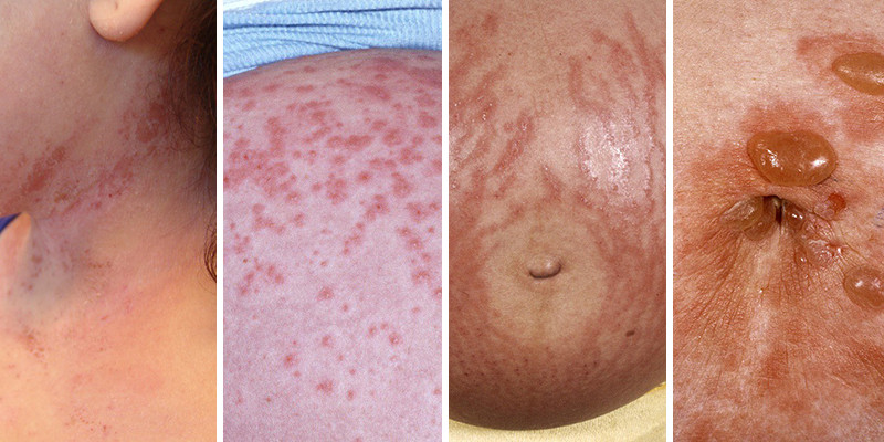
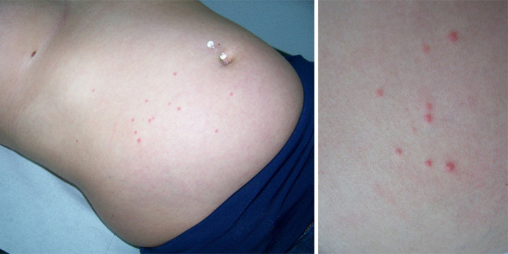
De meeste huidaandoeningen die leiden tot jeuk tijdens de zwangerschap zijn onschuldig, maar cholestase en pemphigoid gestationis brengen risico’s met zich mee. Bij cholestase is er jeuk zonder huidafwijkingen en zijn gal- en leverwaarden verhoogd, bij pemphigoid gestationis ontstaan in en rond de navel vesikels en bullae. Bij beide is verwijzing naar de tweede lijn geïndiceerd. Andere jeukende huidafwijkingen, zoals prurigo gestationis, zwangerschapseczeem, pruritische zwangerschapsfolliculitis en PEP/PUPPP, kunnen worden behandeld met indifferente zalf, topicale corticosteroïden of antihistaminica.
Gratis verder lezen?
H&W biedt geïnteresseerden de mogelijkheid om één artikel per 2 maanden gratis te lezen. Ben je geïnteresseerd in dit artikel? Voer je e-mailadres in en ontvang het artikel gratis in je inbox.
Door gebruik te maken van dit aanbod ga je akkoord met de privacyverklaring en ontvang je per aanvraag maximaal 3 e-mails van H&W.
Abonnement afsluiten?
- Onbeperkt toegang tot alle artikelen
- 11 x tijdschrift Huisarts & Wetenschap
- Ontvang elke week de H&W-nieuwsbrief
- Beluister wekelijks de H&W Podcast
- Draag vanuit jouw expertise bij aan artikelen, samen met andere artsen en onderzoekers
Kies je abonnement
Al abonnee of NHG-lid? Log hier in