Nascholing
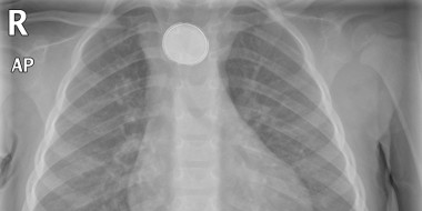
Kinderen die een vreemd voorwerp hebben ingeslikt
Een gerichte anamnese en een algemeen lichamelijk onderzoek vormen de hoeksteen voor het beleid bij kinderen die een vreemd voorwerp hebben ingeslikt. (Spoed)verwijzing naar de tweede lijn is noodzakelijk bij patiënten die ABCDE-instabiel zijn, patiënten die tekenen van ontsteking (koorts)…
Gratis verder lezen?
H&W biedt geïnteresseerden de mogelijkheid om één artikel per 2 maanden gratis te lezen. Ben je geïnteresseerd in dit artikel? Voer je e-mailadres in en ontvang het artikel gratis in je inbox.
Door gebruik te maken van dit aanbod ga je akkoord met de privacyverklaring en ontvang je per aanvraag maximaal 3 e-mails van H&W.
Abonnement afsluiten?
- Onbeperkt toegang tot alle artikelen
- 11 x tijdschrift Huisarts & Wetenschap
- Ontvang elke week de H&W-nieuwsbrief
- Beluister wekelijks de H&W Podcast
- Draag vanuit jouw expertise bij aan artikelen, samen met andere artsen en onderzoekers
Kies je abonnement
Al abonnee of NHG-lid? Log hier in