Casuïstiek
Mastitis? Denk aan galactocele
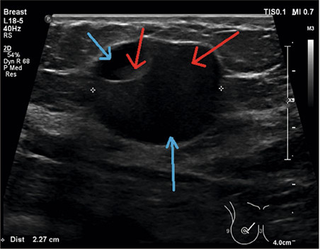
Jaarlijks komt er per huisartsenpraktijk 1 tot 2 keer een patiënte met mastitis op het spreekuur, waarbij het meestal om kraamvrouwen gaat. De ontsteking wordt veroorzaakt door een infectie of door stase van melk in de melkgangen. In dat laatste geval ontstaat er door de ontstekingsreactie een acute cellulitis van het interlobulaire borstklierweefsel. Er is vaak sprake van unilaterale borstpijn, roodheid en zwelling met algehele malaise en koorts. Het is lastig om klinisch onderscheid te maken tussen een infectieuze en een andere oorzaak van de borstontsteking. Mogelijk stellen huisartsen de diagnose infectieuze mastitis bij kraamvrouwen daardoor te vaak.
Gratis verder lezen?
H&W biedt geïnteresseerden de mogelijkheid om één artikel per 2 maanden gratis te lezen. Ben je geïnteresseerd in dit artikel? Voer je e-mailadres in en ontvang het artikel gratis in je inbox.
Door gebruik te maken van dit aanbod ga je akkoord met de privacyverklaring en ontvang je per aanvraag maximaal 3 e-mails van H&W.
Abonnement afsluiten?
- Onbeperkt toegang tot alle artikelen
- 11 x tijdschrift Huisarts & Wetenschap
- Ontvang elke week de H&W-nieuwsbrief
- Beluister wekelijks de H&W Podcast
- Draag vanuit jouw expertise bij aan artikelen, samen met andere artsen en onderzoekers
Kies je abonnement
Al abonnee of NHG-lid? Log hier in