Nascholing

Multipele sclerose

Gepubliceerd
18 juni 2022
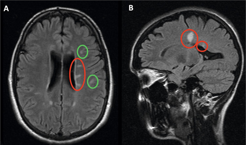
De kennis over oorzaken, diagnostiek en behandeling van multipele sclerose (MS) is de afgelopen jaren snel gegroeid. Daardoor zijn de vooruitzichten voor MS-patiënten sterk verbeterd. De doelen van de behandeling en begeleiding zijn veel ambitieuzer geworden en in de praktijk wordt al gewerkt aan multidisciplinaire zorg voor MS-patiënten. Huisartsen kunnen dan bijvoorbeeld te maken krijgen met een pa­tiënt die immunomodulerende geneesmiddelen gebruikt, waardoor diens bloeduitslagen afwijken. Deze nascholing behandelt de laatste inzichten en mogelijkheden, vertelt waar relevante informatie te verkrijgen is en hoe de huisarts actief kan participeren in het zorgnetwerk rondom de patiënt met MS.