Casuïstiek
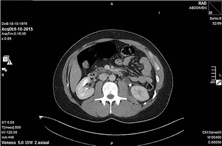
Urinesteenlijden met negatieve hematurie
Een 38-jarige man komt op het spreekuur van de huisarts vanwege hevige buikpijn sinds een dag. De patiënt beschrijft de buikpijn als intermitterende, hevige darmkrampen en wisselt periodes van bewegingsdrang af met periodes waarin een foetushouding het meeste comfort geeft…
Gratis verder lezen?
H&W biedt geïnteresseerden de mogelijkheid om één artikel per 2 maanden gratis te lezen. Ben je geïnteresseerd in dit artikel? Voer je e-mailadres in en ontvang het artikel gratis in je inbox.
Door gebruik te maken van dit aanbod ga je akkoord met de privacyverklaring en ontvang je per aanvraag maximaal 3 e-mails van H&W.
Abonnement afsluiten?
- Onbeperkt toegang tot alle artikelen
- 11 x tijdschrift Huisarts & Wetenschap
- Ontvang elke week de H&W-nieuwsbrief
- Beluister wekelijks de H&W Podcast
- Draag vanuit jouw expertise bij aan artikelen, samen met andere artsen en onderzoekers
Kies je abonnement
Al abonnee of NHG-lid? Log hier in