Nieuws
Foliumzuur en strokepreventie
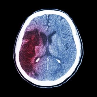
Het dagelijks gebruik van 0,8 mg foliumzuur geeft een aanzienlijke vermindering van het risico op een CVA. Het effect is het grootst bij personen met de laagste serumconcentratie foliumzuur. Foliumzuur lijkt daarom een belangrijke aanvulling bij de preventie van CVA’s bij patiënten met hypertensie…
Gratis verder lezen?
H&W biedt geïnteresseerden de mogelijkheid om één artikel per 2 maanden gratis te lezen. Ben je geïnteresseerd in dit artikel? Voer je e-mailadres in en ontvang het artikel gratis in je inbox.
Door gebruik te maken van dit aanbod ga je akkoord met de privacyverklaring en ontvang je per aanvraag maximaal 3 e-mails van H&W.
Abonnement afsluiten?
- Onbeperkt toegang tot alle artikelen
- 11 x tijdschrift Huisarts & Wetenschap
- Ontvang elke week de H&W-nieuwsbrief
- Beluister wekelijks de H&W Podcast
- Draag vanuit jouw expertise bij aan artikelen, samen met andere artsen en onderzoekers
Kies je abonnement
Al abonnee of NHG-lid? Log hier in