Implementatie
Gynaecologische echografie door de huisarts
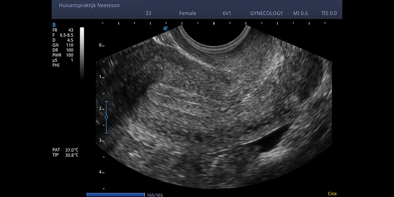
Dit artikel beschrijft een horizontaal verwijsproject van een regionale zorggroep met 165.000 patiënten, waarin huisartsen konden verwijzen naar een kaderhuisarts voor transvaginale gynaecologische echografie. In de jaren 2019-2021 maakte deze kaderhuisarts 481 echo’s. De meest gestelde diagnose was ‘geen afwijkingen’ (56%); er werden geen ernstige diagnoses gemist. Dergelijke horizontale verwijzingen lijken veelbelovend: ze zijn laagdrempeliger, goedkoper en de wachttijden zijn korter.
Gratis verder lezen?
H&W biedt geïnteresseerden de mogelijkheid om één artikel per 2 maanden gratis te lezen. Ben je geïnteresseerd in dit artikel? Voer je e-mailadres in en ontvang het artikel gratis in je inbox.
Door gebruik te maken van dit aanbod ga je akkoord met de privacyverklaring en ontvang je per aanvraag maximaal 3 e-mails van H&W.
Abonnement afsluiten?
- Onbeperkt toegang tot alle artikelen
- 11 x tijdschrift Huisarts & Wetenschap
- Ontvang elke week de H&W-nieuwsbrief
- Beluister wekelijks de H&W Podcast
- Draag vanuit jouw expertise bij aan artikelen, samen met andere artsen en onderzoekers
Kies je abonnement
Al abonnee of NHG-lid? Log hier in