Casuïstiek
Een zeldzame oorzaak van littekenpijn na een sectio
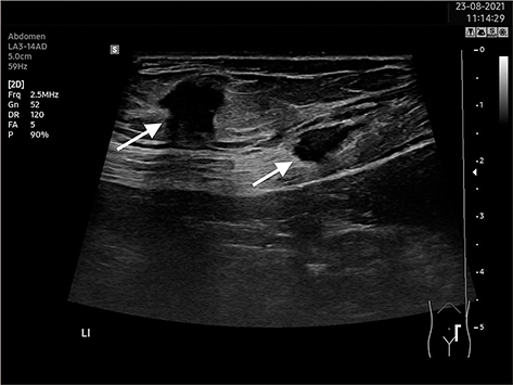
Littekenpijn na een operatie kan hinderlijk zijn. Wanneer deze pijn hevig is of er een zwelling ontstaat, kan dit leiden tot hinder en ongerustheid bij de patiënt. Er zijn verschillende oorzaken voor littekenpijn, zoals een litteken-endometrioom. Dit is een zeldzame complicatie van gynaecologische operaties. We bespreken deze ongewone vorm van endometriose.
Gratis verder lezen?
H&W biedt geïnteresseerden de mogelijkheid om één artikel per 2 maanden gratis te lezen. Ben je geïnteresseerd in dit artikel? Voer je e-mailadres in en ontvang het artikel gratis in je inbox.
Door gebruik te maken van dit aanbod ga je akkoord met de privacyverklaring en ontvang je per aanvraag maximaal 3 e-mails van H&W.
Abonnement afsluiten?
- Onbeperkt toegang tot alle artikelen
- 11 x tijdschrift Huisarts & Wetenschap
- Ontvang elke week de H&W-nieuwsbrief
- Beluister wekelijks de H&W Podcast
- Draag vanuit jouw expertise bij aan artikelen, samen met andere artsen en onderzoekers
Kies je abonnement
Al abonnee of NHG-lid? Log hier in